Dişlerin yapısal bozukluklarının düzeltilmesi estetik diş hekimliği olarak tanımlanabilir. Ayrık dişlerin kapatılması, gülme sırasında diş etinin görünen uzunluğunun ayarlanması, koyu renkli dişlerin renginin istenilen renge döndürülmesi, keskin hatlı dişlerin konturlanması hep estetik diş hekimliğinin ilgi alanına girer. Aslında estetik diş hekimliği diye tanımlanan olay ayrı bir uzmanlık değil ama diş hekimliği uzmanlık alanlarının birbiri ile uyumlu ve doğru kullanılmasıdır.
Şekil ya da renk bozukluğu nedeni ile dişlerin tümü ile porselen kaplanması işlemi günümüzde neredeyse terkedilmiştir. Çok ileri renklenmeler, şekil bozuklukları, ayrık dişler gibi durumlarda dişlerin sadece ön yüzüne, takma tırnak gibi porselen yapıştırılması hem hastanın kendi diş dokusunun korunmasına izin verir hem de estetik bir görünüm ortaya koyar.
Sadece renk bozuklarının tedavisinde tümüyle kaplama yapmak yerine diş ağartmasını tercih etmek hem daha sağlıklı hem de daha ekonomiktir.
Bazı durumlarda tek diş eksikliği, boşluğa komşu olan dişlerin öne kaydırılması ile (ortodonti) kapatabileceği gibi yandaki sağlam dişlere hiç zarar vermeden tek bir implant yerleştirilmesi ile de tedavi edilebilir.
Diş Beyazlatma (Bleaching, Bleeching):
Koyu renkli dişlerin, dişin yapısına hasar vermeden beyazlatılması işlemine denir. Klinikte yapılan (ofis tipi) ve hastanın evde kullandığı (ev tipi) olarak ikiye ayrılır. Renklenmenin etkenleri, uygulama şartları ve hasta konforu bir arada düşünülerek iki yöntemden birisi kullanılır. Hastaya özel olduğu için önceden hangi tedavinin kullanılmasının uygun olduğu ancak muayene sonrası anlaşılır.
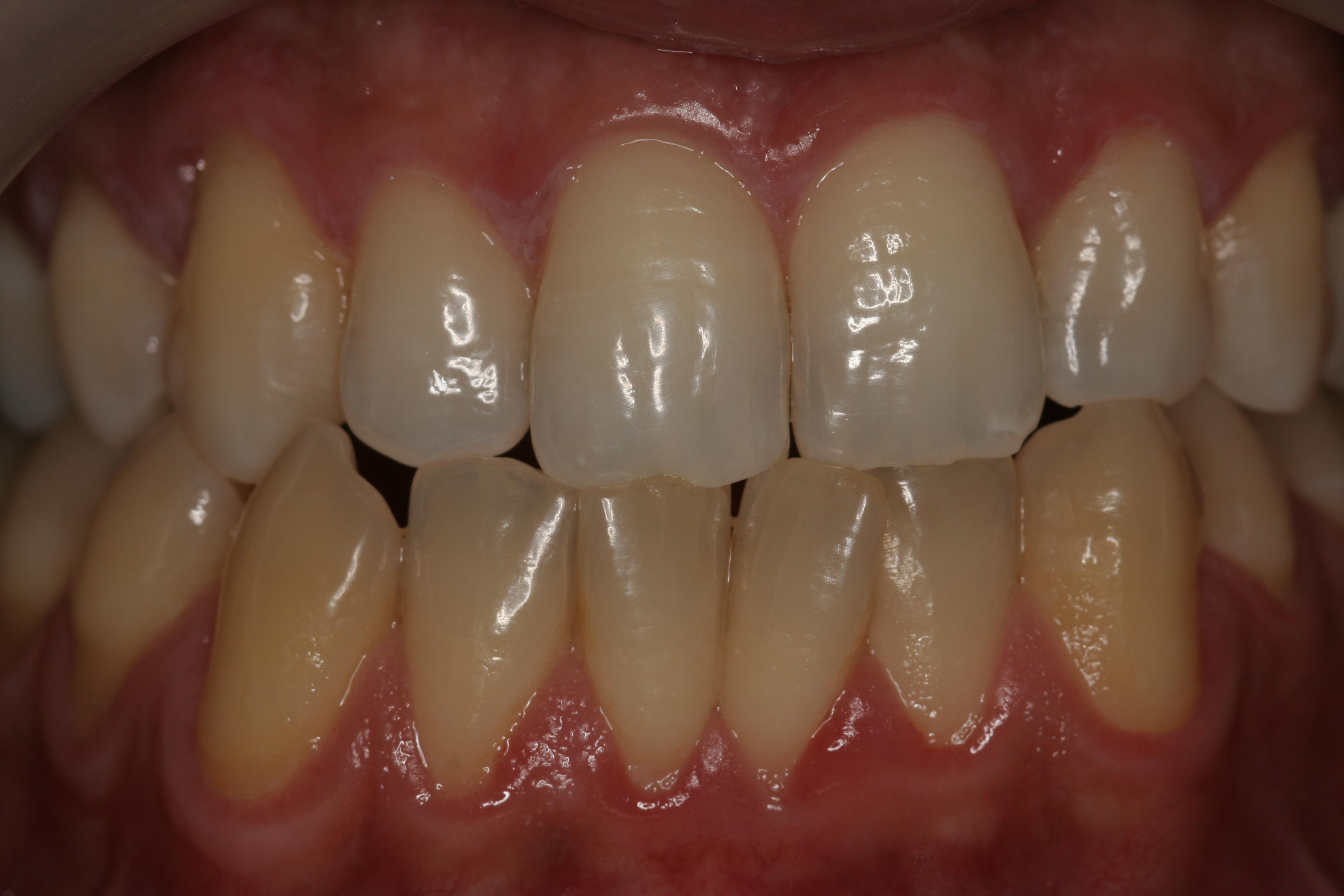
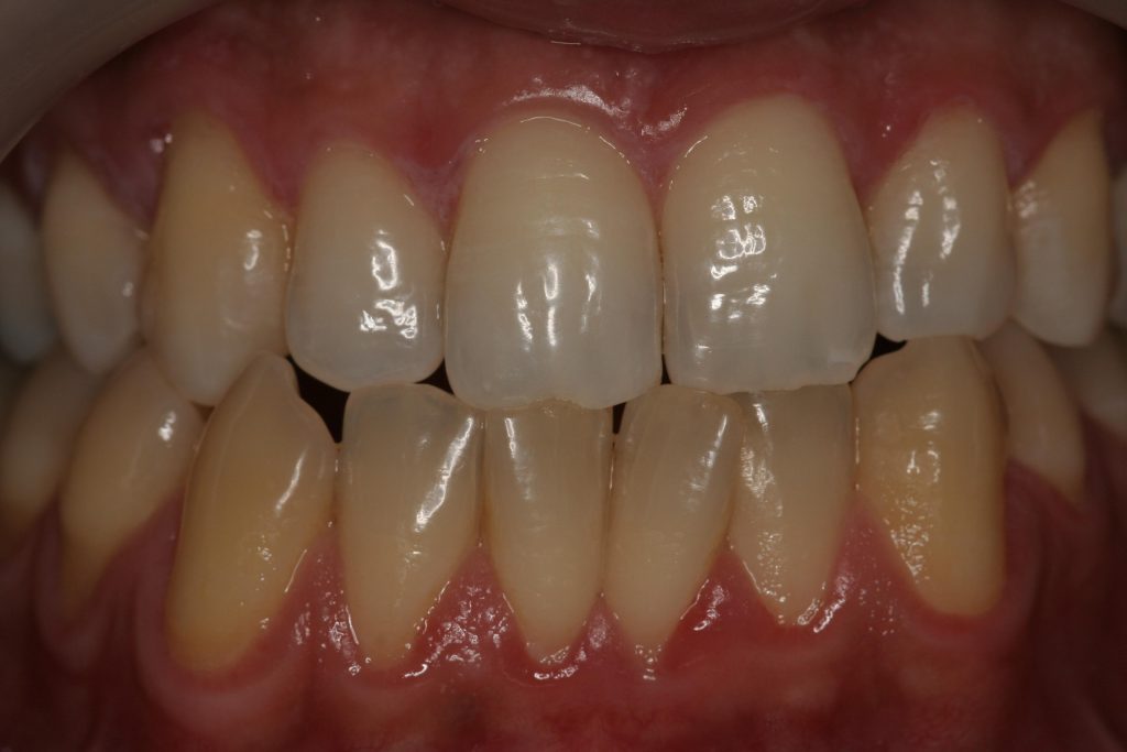
Sadece üst dişlere beyazlatma yapıldıktan sonra iki renk arası fark
AĞARTMA İŞLEMİ NEDİR VE NASIL YAPILIR:
Ağartma dişlerin yapısında bulunan boya ve renklenmeleri uzaklaştırma işlemidir. Bu işlem peroksit içeren özel ilaçlar ile yapılmaktadır. 2 değişik ağartma yöntemi vardır. Bunlardan ilki ev ağartması denilen yöntemdir ki anahatları aşağıda belirtilmiştir:
- Hekimin ağızdan ölçü alıp, dişlerinizin üzerine takabileceğiniz ince lastik kalıpları hazırlatması
- Hastanın kendisi için hazırlanmış özel kalibın içerisine ilaç yerleştirerek bu kalıbı ağartılacak dişlerin üstüne günde en az 6-8 saat takması (tercihen uykuda)
- Tedavinin ortalama 1-4 hafta içinde sonlandırılması
İkinci yöntem ise muayenehane’de hekim tarafından yapılan ağartmadır ki aşağıdaki şekilde uygulanır:
- Ağartıcı ilaç bu işlem hakkında deneyimi olan bir hekim tarafından diş üzerine yerleştirilir.
- İlgili dişin üzerine beyaz renkli dolgu yapılırken kullanılan ışık kaynağı (çogu hasta bunun lazer cihazı olduğunu zanneder) belli bir süre tutulur.
- İlaç yıkanır yıkanmaz dişin renginin ağarmış olduğu görülür.
Her iki yöntemde etkin olmasına rağmen tercih, renklenmenin derecesine, tedavinin ne kadar çabuk sonlandırılmak istenmesine ve tabii ki bu işlem için hastanın ayırabileceği tedavi ücretine bağlıdır.
Bazı insanların dişleri neden daha koyu sarı ya da gri renklidir?
Bu durum dişin yapısından ileri gelebileceği gibi diş etkenlerin boyaması ile, gelişim çağında alınan antibiyotik ya da florür nedeni ile, yaşlılıkla, dişe gelen bir darbe nedeni ile de olabilir.
Herkes diş rengini beyazlatabilir mi?
Neredeyse herkes bu ağartma tedavisinden faydalanabilir. Ancak yaklaşik %10 gibi bir hasta grubunda başarı elde edilemeyebilir. Bu nedenle ağartma hizmeti veren bir diş hekiminin fikrini almak gerekir.
Ağartma tedavisi zararsız mıdır?
Evde uygulanan ağartma tedavisinde, %10 konsantrasyona sahip ‘karbamid peroksit’ in hiçbir kalıcı zarara yol açmadığı degişik çalışmalarla kanıtlanmıştır. Ancak daha yüksek konsantrasyonlar dikkatle kullanılmalıdır. Ancak hamile ya da emziren anneler ile çok genç hasta grupları üzerinde yeterli çalışma olmadığından bu sınıfa giren hastalara ağartma tedavisi kliniğimizde uygulanmaz.
Dişlerim beyazladıktan sonra eski haline geri döner mi?
Hastaların %70’i geri dönüş gözlemlememektedir. Ancak değişim gözlediğini söyleyen %30’luk bir grup 1-2 sene de bir defa yalnızca bir gece uygulama yaparak gene tedavi sonrası ortaya çıkan beyazlıgı yakalamaktadırlar.
Özetle bu tedavinin basarılı olması için neler önemlidir?
Kullanılan ilacın markası ve içerigi
Bu konuda deneyimli bir hekimin tedavisi altında olmanız
Ilacın kullanılma şekli ve tedavi süresi
Tedavi sırasında nelere katlanmak zorunda kalacagım?
Eğer sigara içiyorsaniz lastik kalıp ağzınızda iken sigara içmemeniz (ev ağartması için geçerli) Tedavi’nin bitmesi ile ortadan kalkacak hafif soguk sicak hassasiyeti
